메트로人 머니 산업 IT·과학 정치&정책 생활경제 사회 에듀&JOB 기획연재 오피니언 라이프 CEO와칭 플러스
글로벌 메트로신문
로그인
회원가입

    머니

  • 증권
  • 은행
  • 보험
  • 카드
  • 부동산
  • 경제일반

    산업

  • 재계
  • 자동차
  • 전기전자
  • 물류항공
  • 산업일반

    IT·과학

  • 인터넷
  • 게임
  • 방송통신
  • IT·과학일반

    사회

  • 지방행정
  • 국제
  • 사회일반

    플러스

  • 한줄뉴스
  • 포토
  • 영상
  • 운세/사주
사회>제약/의료/건강

가을산행시 낙상 등으로 척추·관절 손상 위험 동반증가



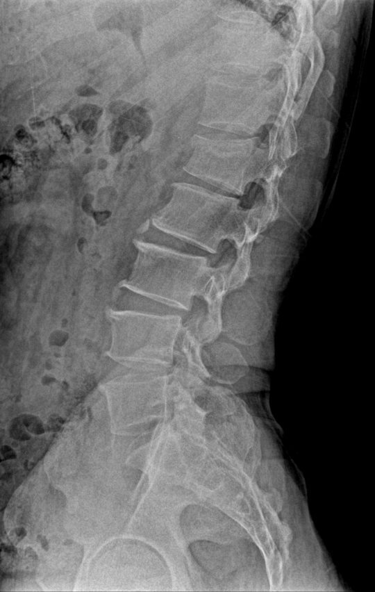
척추압박골절 X-RAY / 바른세상병원 척추센터 제공



[메트로신문 최치선 기자] 날씨가 시원해지면서 산을 찾는 등산객들이 많아지고 있다. 하지만 가을 산은 화려한 경관만큼이나 위험요소가 많아 등산 시 주의가 필요하다. 가을 산은 일교차가 커 등산로가 젖어있는 경우가 많고 낙엽 등으로 인해 미끄러지기가 쉽다. 지난 2011년 소방방재청이 발표한 바에 따르면 산악사고 중 3건 중 1건 이상이 9월에서 11월에 일어났으며, 그 중 반 이상이 주말에 집중되었다고 한다. 실제로 지난 1일부로 각 지자체와 국립공원 관리사무소 등에서는 앞다투어 '등산지킴이' 나 '가을철 산악안전 구조대책' 등을 추진하느라 분주하다.

가을을 맞아 가볍게 동네 야산 등반을 계획하는 어르신들의 경우, 가벼운 산행이라도 낙상 등으로 인한 척추압박골절이나, 척추후관절증후군이 발생할 수도 있어 각별한 주의가 필요하다. 허리뼈나 근력이 약한 어르신들은 산행을 하면서 크고 작은 충격에 외상을 입을 수 있기 때문이다.

척추압박골절은 외부 충격에 의해 척추뼈가 납작하게 내려 앉는 질환으로 골다공증이 주 원인이다. 하지만 골절이 발생하기 전까지 골다공증 진행여부를 알 수 없는 경우가 많기 때문에 골밀도가 낮은 어르신들이나 폐경기 이후의 여성들은 가을 산행을 할 때 사소한 충돌이나 넘어짐에도 각별히 주의해야 한다.

척추압박골절이 발생하면 누워있거나 앉아 있다가 자리에서 일어나려고 할 때 통증을 느낀다. 압박 골절이 악화되면 등과 허리가 굽게 되는 척추후만증이 발생할 수도 있기 때문에 이상을 느끼면 무리하게 움직이지 말고 안정을 취하는 것이 좋고, 전문의를 찾아가 치료를 받아야 한다.

바른세상병원 척추센터 이승철 센터장(신경외과 전문의)은 "등산 시 발생한 척추압박골절의 경우 방치하면 장기적으로 만성 요통을 유발하고 심폐기능까지 약해질 수 있기 때문에 통증이 남아 있으면 병원을 찾아 정확한 진단을 받고 치료해야 한다"고 조언했다.

어르신들의 경우 하산을 할 때도 조심해야 한다. 나이가 들면 근육량이 감소하고 균형감각이 떨어지기 마련이다. 복근이나 엉덩이 근육이 약해서 허리를 앞으로 내밀고 걷는 어르신들은 산행 시 내리막길에서 보폭을 너무 넓게 잡거나 빠르게 내려가는 등, 하중이나 속도를 감당하지 못할 정도의 큰 움직임은 피해야 한다. 자칫하면 척추 후관절에 무리가 가게 되어 후관절에 분포한 신경을 자극해 척추후관절증후군이 발생할 수 있기 때문이다.

척추후관절증후군은 척추를 지지해 주는 척추 후방의 관절이 외부 충격 등으로 비틀어지면서 생기는 질환이다. 허리근력이 약한 어르신들이 산을 오르내릴 때 허리를 삐끗하거나 넘어지면서 발생할 수 있다. 척추후관절증후군이 생기면 허리와 골반이 욱신거리고, 허리를 뒤로 젖히거나 누워서 몸을 옆으로 돌릴 때 통증을 느낀다.

일반적으로 평지를 걸을 때 무릎에 실리는 하중은 체중의 3~6배에 이른다. 하지만 산에 오를 때는 7~10배의 하중이 무릎에 가해진다. 예를 들어 체중이 60kg인 사람이라면 걸을 때는 180~360kg, 뛰거나 산에 오를 때는 420~600kg의 하중이 무릎에 가해진다. 하지만 이 무게가 바로 무릎관절에 다 실리는 것은 아니다. 무릎을 둘러싼 근육과 인대 등이 하중의 일부를 나눠 부담하기 때문이다. 앞서 언급했듯 가을철에는 일교차로 인해 등산로가 미끄럽고, 낙엽 등이 덮혀 있는 경우가 많아 등산 시 걸음을 딛을 때 힘을 더 주게 되는 경우가 많다.

젊은 층은 무릎관절을 둘러싼 근육이 발달돼 있어 무릎에 가해지는 하중이 상대적으로 적지만 나이가 들면서 근육량이 감소해 무릎에 실리는 무게가 그만큼 증가한다. 50·60대는 30대와 비교할 때 무릎 주변 근육량이 30~40% 정도 적다는 보고도 있어 중장년층일수록 등산할 때 무릎을 조심해야 한다. 특히 산행을 많이 하는 사람의 경우 등산할 때보다 하산할 때 무릎에 가해지는 하중이 더욱 커져 통증 발생위험이 높다.

우선 산에 오를 때 지속적으로 무릎에 하중이 실려 연골이 스트레스를 심하게 받는다. 이 상태에서 다시 내려올 때 무릎에 가해지는 하중이 더욱 증가하기 때문이다. 하산 시 나타나는 무릎통증의 원인은 다양하지만 가장 흔한 것이 반월상연골에 문제가 생긴 경우다. 반월상연골은 관절의 안쪽과 바깥쪽에 위치하며 무릎의 중간뼈 사이에 들어있는 물렁한 조직은 관절의 연골을 보호하고 무릎 관절의 움직임을 원활하게 해주는 역할을 한다. 이 부분이 찢어지거나파열되면서 통증이 발생한다.

반월상연골이 파열되면 무릎 관절이 붓고 움직일 때 통증이 발생한다. 무릎 안에서 소리가 나고 쪼그려 앉았다 일어설 때, 계단이나 경사진 길을 오를 때 무릎에 통증이 생긴다. 산행 중 이런 증상이 계속된다면 무리하게 산행을 하지 말고 무릎에 하중이 가해지지 않도록 스틱을 이용하거나 주변의 부축을 받아 천천히 내려와야 한다.

이원희 원장(정형외과 전문의)은 "산에 오르내리는 과정에서 무릎에 많은 하중이 실리면 무릎의 반월상 연골판은 미세한 손상을 입으며 열도 발생한다"며 "산행을 마치고 냉찜질 등을 통해 무릎 관절의 열을 식혀주면 손상된 조직의 붓기를 가라앉혀주고 부으면서 발생하는 유해 활성화 산소 및 유해 물질의 분비를 감소시켜 조직의 추가 손상을 예방함은 물론, 통증을 완화시켜 빠른 회복을 돕는다" 고 말했다.

산행 후 피로를 풀기 위해 사우나에 갈 때는 다리를 냉탕에 담가 5~10분쯤 머문 뒤 온탕에 들어가는 것이 바람직하다. 집에서는 얼음주머니를 이용해 무릎 부위를 냉찜질해주는 게 좋다. 냉찜질은 산행 뿐 아니라 마라톤, 골프 등 무릎을 포함한 관절을 많이 사용하는 운동을 한 뒤 도움 된다.

부상의 위험을 줄이고 건강하게 가을 단풍산행을 하기 위해서는 무엇보다 사전 준비가 중요하다. 등산 전 며칠의 기간을 두고 가벼운 평지 걷기 등으로 기초체력을 먼저 다지고, 관절과 근육이 충분히 풀어지도록 스트레칭을 꼼꼼히 하는 것이 좋다. 또한 배낭무게는 자신의 몸무게의 10%이하로 꾸리는 것이 좋고, 산이나 숲 속의 낮은 기온에 근육이 긴장하지 않도록 옷을 따뜻하게 입어 체온을 유지하는 것이 필요하다. 접었다 펼 수 있는 등산전용지팡이를 휴대해 오르막이나 내리막 길에 사용하면서 허리와 무릎에 주는 하중을 분산시키는 것도 도움이 된다.

또한 산행 중에는 나뭇가지를 잡고 오르는 것은 피해야 한다. 가을철 건조한 기후로 인해 마른 나뭇가지가 부러지면서 큰 사고로 이어질 수 있기 때문이다. 뿐만 아니라 볕이 잘 들지 않는 북사면은 습하고 미끄러울 수 있으므로, 이를피해 산의 동남쪽으로 오르고 서남쪽으로 내려오는 코스를 선택하는 것이 좋다.
트위터 페이스북 카카오스토리 Copyright ⓒ 메트로신문 & metroseoul.co.kr